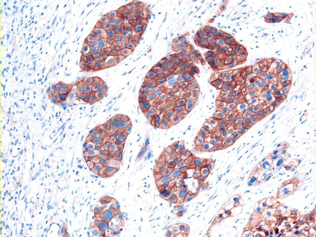
EGFR Domain II specific for IHC and ELISA
EGFR (epidermal growth factor receptor) is a transmembrane tyrosine kinase receptor that plays a central role in regulating cell proliferation, survival, and differentiation. It is frequently overexpressed or mutated in a range of epithelial cancers, including non-small cell lung, colorectal, and head and neck cancers. The extracellular region of EGFR consists of four domains (I–IV), with domain II forming a critical part of the receptor’s dimerization interface. This domain undergoes conformational changes upon ligand binding and is essential for receptor activation. Targeting domain II allows for interrogation of EGFR activation states and spatial distribution in FFPE tumor tissues, supporting studies in tumor biology, resistance mechanisms, and therapeutic development.
Class: Recombinant Monoclonal
Expression System: CHO cells
Immunogen: Human EGFR
Form: Liquid
Buffer: PBS with < 0.1% sodium azide and 0.1% gelatin
Concentration: 1 mg/ml
Storage Conditions: Store at 4 °C, DO NOT FREEZE. Stable for one year from the date of shipment.
Shipping Conditions: Ambient
Delivery Time: 3–5 days if in stock; 3–5 weeks if production needed
Note: For laboratory research use only. Not for any clinical, therapeutic, or diagnostic use in humans or animals. Not for animal or human consumption.
Purchasers shall not, and agree not to enable third parties to, analyze, copy, reverse engineer or otherwise attempt to determine the structure or sequence of the product.
Immunohistochemistry (Paraffin) (IHC (P)): 1:200 (IHC protocol available here)
ELISA: 1:1000
Lorem ipsum dolor sit amet, consetetur sadipscing elitr, sed diam nonumy eirmod tempor invidunt ut labore et dolore magna aliquyam erat, sed diam voluptua. At vero eos et accusam et justo duo dolores et ea rebum. Stet clita kasd gubergren, no sea takimata sanctus est Lorem ipsum dolor sit amet. Lorem ipsum dolor sit amet, consetetur sadipscing elitr, sed diam nonumy eirmod tempor invidunt ut labore et dolore magna aliquyam erat, sed diam voluptua. At vero eos et accusam et justo duo dolores et ea rebum. Stet clita kasd gubergren, no sea takimata sanctus est Lorem ipsum dolor sit amet.
Size: 100µl
Price: € 490,00
Host: Rabbit
Clonality: Monoclonal
Clone ID: F062
Isotype: IgG
Verified Reactivity: Human
Validation: IHC, ELISA
For laboratory research use only. Not for any clinical, therapeutic, or diagnostic use in humans or animals. Not for animal or human consumption.
Downloads:
Datasheet
SDS
Certificate of Analysis

Newsletter
Subscribe to our newsletter for exclusive updates on new domain-specific antibodies, validation data, and application insights. Be the first to learn about product launches, service offers, and the latest findings in translational and therapeutic research—delivered straight to your inbox.